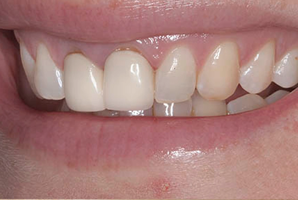
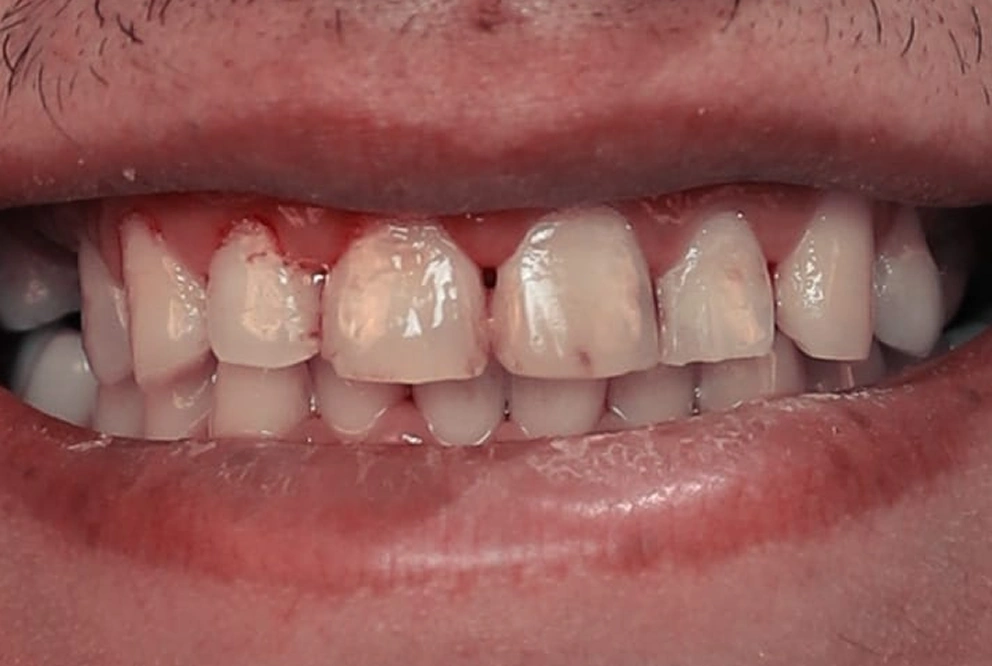
Your smile is your signature, and at SCMMC, led by Dr. Amam Amam, we ensure itβs healthy, white, and confident. Whether you need a smile makeover, painless dental implants, or expert gum care, we provide personalized, pain-free treatments for a flawless smile.
Happy Smiles Restored in Sharjah
Years of Expertise in the UAE
International Awards in Dental Excellence
Treatment Success Rate
Dr. Amam Amam, a periodontist and implantologist at Sharjah Consultancy Modern Medical Center (SCMMC) in Al Majaz, holds a PhD in Periodontics & Implantology. She specializes in painless dental implants, advanced gum treatments, and soft tissue management. Patients from Dubai, Ajman, and across the UAE seek her expertise in gum surgery and smile makeovers.
Her expertise includes:
Sharjah Consultancy Modern Medical Center (SCMMC): Your destination for world-class dental care.
We offer personalized, pain-free, and advanced dental treatments to keep your smile white, bright, and healthy.

Healthy gums, lasting support

Permanent solutions for missing teeth

Advanced facial and jaw solutions

Enhance your smileβs beauty

Complete care for every smile

Straight teeth, confident smiles

Bring strength back to teeth

Relief through expert root care

Gentle care for young smiles
Our team of specialists is dedicated to your oral health and smile aesthetics.
Periodontist & Implantologist
General & Aesthetic Dentist
General Dentist & Implantologist
we are! "The centre is fantastic! Also the staff are kind and professional, the place is very clean, and the service is quick and professional."
"This medical centre is fantastic! The staff are kind and professional, the place is clean, and the service is quick. The doctors really listen and explain everything well. I highly recommend it!"
"I have always visited Dr. Amam and Dr. Yamen whenever I had a toothache. The professional care starts right at the reception. "
Your Guide to a Brighter, Healthier Smile
No! Dental implants at SCMMC are minimally invasive and performed under local anesthesia. Our patients report little to no discomfort during and after the procedure.Β
With proper care, dental implants can last a lifetime! Regular check-ups and good oral hygiene help maintain their durability.
Yes! We specialize in full-mouth dental implants, including All-on-4 and All-on-6 solutions, for patients missing most or all of their teeth.
At SCMMC, we offer advanced teeth whitening options, including laser whitening, Zoom teeth whitening, and at-home whitening kits.
Professional teeth whitening results can last between 1-3 years, depending on your diet and oral care habits. Avoid staining foods & schedule regular cleanings for longer-lasting results!
A Hollywood Smile is a complete smile makeover using veneers, teeth whitening, or dental crowns for a perfect, celebrity-like smile.
Invisalign is a nearly invisible, removable option, while metal braces are more affordable but visible. We offer both based on your needs and budget!
Invisalign treatment typically lasts between 6-18 months, depending on the complexity of your case.
Braces may cause mild discomfort for the first few days, but the pain subsides quickly. We offer pain-free orthodontic solutions for a comfortable experience!
β Symptoms include swollen or bleeding gums, bad breath, and loose teeth. Early treatment prevents serious complications.
β Yes! We use advanced anesthesia techniques to ensure a completely pain-free tooth extraction experience.
The first dental visit should be around the age of one or when the first tooth appears. Early check-ups prevent future dental issues!
Expert Dental Services | Cosmetic Dentistry |
Teeth Whitening | Dental Implants | Invisalign & Braces
Β© scm-mc 2025- All Rights Reserved